Спорт-вики — википедия научного бодибилдинга
Список файлов
Эта служебная страница показывает все загруженные файлы.
| Дата | Имя файла | Миниатюра | Размер | Описание | Версий |
|---|---|---|---|---|---|
| 14:34, 14 августа 2017 | Bol spina18.jpg (файл) | 16 КБ | Магнитно-резонансная томограмма шейного отдела позвоночника. Перамедиальная правосторонняя грыжа диска С5-С6 с компрессией спинного моз… | 1 | |
| 14:34, 14 августа 2017 | Bol spina17.jpg (файл) | 30 КБ | Дистрофические изменения диска (схема) | 1 | |
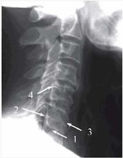
| 14:31, 14 августа 2017 | Bol spina16.jpg (файл) | 12 КБ | Рентгенография шейного отдела позвоночника. Нестабильность ПДС С3-С4 при сгибании в шейном отделе позвоночника - смещение С3 кпереди на 3 мм | 1 | |
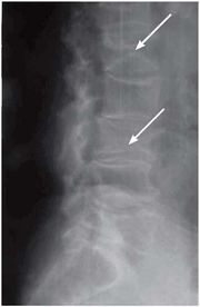
| 14:30, 14 августа 2017 | Bol spina15.jpg (файл) | 9 КБ | Рентгенография пояснично-крестцового отдела позвоночника пациента с хронической люмбалгией. | 1 | |
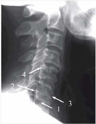
| 14:29, 14 августа 2017 | Bol spina14.jpg (файл) | 10 КБ | Рентгенография шейного отдела позвоночника. Отмечается субхондральный остеосклероз (1), снижение высоты межпозвоночного промежутка (2), ф… | 1 | |
| 14:27, 14 августа 2017 | Bol spina13.jpg (файл) | 9 КБ | Рентгенография грудного отдела позвоночника. Компрессионный перелом тел L1- и L, позвонков на фоне остеопороза | 1 | |
| 14:17, 14 августа 2017 | Bol spina12.jpg (файл) | 6 КБ | Визуальная аналоговая шкала | 1 | |
| 14:15, 14 августа 2017 | Bol spina11.jpg (файл) | 19 КБ | Измерение амплитуды движений в поясничном отделе позвоночника | 1 | |
| 14:14, 14 августа 2017 | Bol spina10.jpg (файл) | 11 КБ | Нормальная амплитуда движений в шейном отделе позвоночника | 1 | |
| 14:05, 14 августа 2017 | Bol spina9.jpg (файл) | 16 КБ | Исследование вибрационной чувствительности в зоне иннервации малоберцового нерва камертоном | 1 | |
| 14:03, 14 августа 2017 | Bol spina8.jpg (файл) | 11 КБ | Тензоальгометр | 1 | |
| 14:02, 14 августа 2017 | Bol spina7.jpg (файл) | 11 КБ | Исследование температурной чувствительности в зоне иннервации корешка L4 инструментом «Тиотерм». | 1 | |
| 14:00, 14 августа 2017 | Bol spina6.jpg (файл) | 13 КБ | Анатомические ориентиры для выявления асимметрии позы | 1 | |
| 13:49, 14 августа 2017 | Bol spina5.jpg (файл) | 18 КБ | Патологическая биоэлектрическая активность, возникающая при воздействии импульсов, приходящих по эфферентным nervi nervorum | 1 | |
| 13:46, 14 августа 2017 | Bol spina4.jpg (файл) | 28 КБ | Периферические механизмы формирования ноцицептивного болевого синдрома. | 1 | |
| 13:45, 14 августа 2017 | Bol spina3.jpg (файл) | 18 КБ | Иннервация межпозвоночных суставов | 1 | |
| 13:43, 14 августа 2017 | Bol spina2.jpg (файл) | 33 КБ | Спинномозговой нерв и его ветви | 1 | |
| 13:24, 14 августа 2017 | Bol spina1.jpg (файл) | 36 КБ | Виды боли в спине и основные причины ее формирования. | 1 | |
| 23:35, 29 мая 2017 | Sportmedicina99.jpg (файл) | 82 КБ | Комплекс специальных упражнений в тренажерном зале (4-4,5 мес после операции) | 1 | |
| 23:34, 29 мая 2017 | Sportmedicina98.jpg (файл) | 27 КБ | Имитационные упражнения в водной среде для спортсменов различной специализации | 1 | |
| 23:32, 29 мая 2017 | Sportmedicina97.jpg (файл) | 77 КБ | Комплекс специальных упражнений второго периода реабилитации (2,5-3 мес после операции) | 1 | |
| 23:32, 29 мая 2017 | Sportmedicina96.jpg (файл) | 66 КБ | Комплекс специальных упражнений второго периода реабилитации (1,5-2 мес после операции) | 1 | |
| 20:25, 29 мая 2017 | Sportmedicina95.jpg (файл) | 74 КБ | Лечебный алгоритм при лигаментопатиях связок таза | 1 | |
| 20:25, 29 мая 2017 | Sportmedicina94.jpg (файл) | 66 КБ | Лечебный алгоритм при патологии остистых связок | 1 | |
| 20:24, 29 мая 2017 | Sportmedicina93.jpg (файл) | 68 КБ | Лечебный алгоритм при спондилолизе поясничных позвонков | 1 | |
| 20:24, 29 мая 2017 | Sportmedicina92.jpg (файл) | 82 КБ | Лечебный алгоритм при синдроме фасеток | 1 | |
| 20:23, 29 мая 2017 | Sportmedicina91.jpg (файл) | 117 КБ | Лечебный алгоритм при пояснично-крестцовой боли с корешковым (ирритативным или компрессионным) синдромом | 1 | |
| 20:23, 29 мая 2017 | Sportmedicina90.jpg (файл) | 65 КБ | Лечебный алгоритм при спондилогенной пояснично-крестцовой боли | 1 | |
| 18:45, 27 апреля 2017 | Sportmedicina89.jpg (файл) | 66 КБ | Примерный комплекс физических упражнений во втором периоде реабилитации | 1 | |
| 18:44, 27 апреля 2017 | Sportmedicina88.jpg (файл) | 38 КБ | Примерный комплекс физических упражнений в бассейне во втором периоде реабилитации | 1 | |
| 18:31, 27 апреля 2017 | Sportmedicina87.jpg (файл) | 150 КБ | Встречаемость основных диагностических признаков при разных вариантах пояснично-крестцового болевого синдрома | 1 | |
| 17:35, 27 апреля 2017 | Sportmedicina86.jpg (файл) | 88 КБ | Шкала оценки эффективности хирургического вмешательства на крестообразных связках коленного сустава | 1 | |
| 17:26, 27 апреля 2017 | Sportmedicina85.jpg (файл) | 167 КБ | Шкала оценки болевого синдрома | 1 | |
| 17:46, 25 апреля 2017 | Sportmedicina84.jpg (файл) | 47 КБ | Классификация психологических средств восстановления | 1 | |
| 17:45, 25 апреля 2017 | Sportmedicina83.jpg (файл) | 55 КБ | Классификация педагогических средств восстановления (Платонов В.Н., 1997) | 1 | |
| 17:44, 25 апреля 2017 | Sportmedicina82.jpg (файл) | 39 КБ | Общая схема восстановительных мероприятий спортсменов с использованием различных групп средств | 1 | |
| 16:20, 24 апреля 2017 | Sportmedicina81.jpg (файл) | 9 КБ | Протокол пульсометрии в течение урока | 1 | |
| 16:00, 24 апреля 2017 | Sportmedicina80.jpg (файл) | 55 КБ | Экспресс-оценка уровня физического состояния занимающихся оздоровительной физической культурой | 1 | |
| 14:33, 23 апреля 2017 | Sportmedicina79.jpg (файл) | 32 КБ | Различные виды прыжков | 1 | |
| 14:32, 23 апреля 2017 | Sportmedicina78.jpg (файл) | 10 КБ | Прыжки, осуществляемые через спину партнера | 1 | |
| 14:32, 23 апреля 2017 | Sportmedicina77.jpg (файл) | 10 КБ | Поднятие ногами партнера | 1 | |
| 14:31, 23 апреля 2017 | Sportmedicina76.jpg (файл) | 6 КБ | Стойка на голове и плечах | 1 | |
| 14:31, 23 апреля 2017 | Sportmedicina75.jpg (файл) | 11 КБ | Растяжка атлета за руки и ноги двумя или четырьмя партнерами | 1 | |
| 14:31, 23 апреля 2017 | Sportmedicina74.jpg (файл) | 8 КБ | Прямые кувырки через голову вперед и назад | 1 | |
| 14:30, 23 апреля 2017 | Sportmedicina73.jpg (файл) | 8 КБ | Переразгибание в локтевом суставе | 1 | |
| 14:30, 23 апреля 2017 | Sportmedicina72.jpg (файл) | 10 КБ | Чрезмерная амплитуда круговых движений в плечевых суставах с использованием утяжеления | 1 | |
| 14:30, 23 апреля 2017 | Sportmedicina71.jpg (файл) | 8 КБ | Высокие махи ногами | 1 | |
| 14:29, 23 апреля 2017 | Sportmedicina70.jpg (файл) | 9 КБ | Приседание с отягощением | 1 | |
| 14:29, 23 апреля 2017 | Sportmedicina69.jpg (файл) | 9 КБ | Выпад - острый угол между бедром и голенью | 1 | |
| 14:28, 23 апреля 2017 | Sportmedicina68.jpg (файл) | 8 КБ | Переход из положения лежа в положение сидя с выпрямленными ногами | 1 |
