Спорт-вики — википедия научного бодибилдинга
Список файлов
Эта служебная страница показывает все загруженные файлы.
| Дата | Имя файла | Миниатюра | Размер | Описание | Версий |
|---|---|---|---|---|---|
| 14:18, 20 мая 2018 | Medgym19.jpg (файл) | 110 КБ | Разминка для больных астмой | 1 | |
| 13:40, 20 мая 2018 | Medgym18.jpg (файл) | 245 КБ | Асаны йоги для снятия беспокойства | 1 | |
| 13:39, 20 мая 2018 | Medgym17.jpg (файл) | 213 КБ | Асаны йоги для снятия беспокойства | 1 | |
| 13:31, 20 мая 2018 | Medgym16.jpg (файл) | 13 КБ | упражнение рыба | 1 | |
| 13:30, 20 мая 2018 | Medgym15.jpg (файл) | 14 КБ | СТОЙКА НА ПЛЕЧАХ | 1 | |
| 13:30, 20 мая 2018 | Medgym14.jpg (файл) | 131 КБ | Растяжки для облегчения головной боли | 1 | |
| 13:29, 20 мая 2018 | Medgym13.jpg (файл) | 123 КБ | Растяжки для облегчения головной боли | 1 | |
| 13:15, 20 мая 2018 | Medgym12.jpg (файл) | 144 КБ | Упражнения на развитие равновесия | 1 | |
| 13:13, 20 мая 2018 | Medgym11.jpg (файл) | 166 КБ | Растяжки мышц ног | 1 | |
| 13:12, 20 мая 2018 | Medgym10.jpg (файл) | 142 КБ | Растяжки мышц рук | 1 | |
| 13:11, 20 мая 2018 | Medgym9.jpg (файл) | 122 КБ | Растяжки мышц кистей рук и запястей | 1 | |
| 13:10, 20 мая 2018 | Medgym8.jpg (файл) | 81 КБ | Растяжки мышц головы и плеч | 1 | |
| 12:55, 20 мая 2018 | Medgym7.jpg (файл) | 68 КБ | Простой комплекс цигун для больных эпилепсией | 1 | |
| 12:33, 20 мая 2018 | Medgym6.jpg (файл) | 34 КБ | СТОЙКА НА ПЛЕЧАХ | 1 | |
| 12:33, 20 мая 2018 | Medgym5.jpg (файл) | 26 КБ | УПОР НОГАМИ В СТЕНУ | 1 | |
| 12:32, 20 мая 2018 | Medgym4.jpg (файл) | 32 КБ | СГИБАНИЕ И РАЗГИБАНИЕ ГОЛЕНОСТОПА | 1 | |
| 12:31, 20 мая 2018 | Medgym3.jpg (файл) | 16 КБ | ПОДЪЕМЫ НОГ | 1 | |
| 12:30, 20 мая 2018 | Medgym2.jpg (файл) | 32 КБ | «ВЕЛОСИПЕД» | 1 | |
| 12:22, 20 мая 2018 | Medgym1.jpg (файл) | 103 КБ | Растяжка при ишемической болезни | 1 | |
| 20:29, 14 августа 2017 | Bol spina49.jpg (файл) | 19 КБ | Магнитно-резонансная томограмма поясничного отдела позвоночника пациента Д. | 1 | |
| 20:28, 14 августа 2017 | Bol spina48.jpg (файл) | 27 КБ | Измерение позвоночного канала: 1 - сагиттальный диаметр; 2 - размер латерального корешкового канала | 1 | |
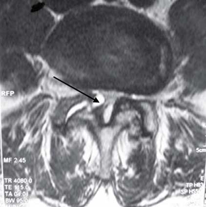
| 20:27, 14 августа 2017 | Bol spina47.jpg (файл) | 16 КБ | Магнитно-резонансная томограмма поясничного отдела позвоночника пациентки Н. Парамедианная правосторонняя грыжа диска LV-SI (стрелка), вы… | 1 | |
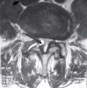
| 20:26, 14 августа 2017 | Bol spina46.jpg (файл) | 18 КБ | Магнитно-резонансная томограмма поясничного отдела позвоночника пациента К. Парамедианная левосторонняя грыжа диска LV-SI (стрелки) | 1 | |
| 20:25, 14 августа 2017 | Bol spina45.jpg (файл) | 21 КБ | Магнитно-резонансная томограмма шейного отдела позвоночника пациентки С. | 1 | |
| 20:24, 14 августа 2017 | Bol spina44.jpg (файл) | 96 КБ | Тактика лечения пациентов с компрессионной радикулопатией | 1 | |
| 20:21, 14 августа 2017 | Bol spina43.jpg (файл) | 72 КБ | Показатели ЭМГ при предполагаемой поясничной и крестцовой радикулопатии | 1 | |
| 20:20, 14 августа 2017 | Bol spina42.jpg (файл) | 48 КБ | Показатели ЭМГ при предполагаемой шейной радикулопатии | 1 | |
| 19:45, 14 августа 2017 | Bol spina41.jpg (файл) | 89 КБ | Диагностика спондилоартропатий | 1 | |
| 17:44, 14 августа 2017 | Bol spina40.jpg (файл) | 22 КБ | Скелетно-мышечные источники боли на передней поверхности грудной клетки | 1 | |
| 17:38, 14 августа 2017 | Bol spina39.jpg (файл) | 56 КБ | Тактика лечения спондилоартропатического синдрома | 1 | |
| 17:36, 14 августа 2017 | Bol spina38.jpg (файл) | 19 КБ | Магнитно-резонансная томограмма поясничного отдела позвоночника, аксиальная проекция на уровне LIV-LV справа. | 1 | |
| 17:34, 14 августа 2017 | Bol spina37.jpg (файл) | 13 КБ | Увеличение нагрузки на дугоотростчатые суставы при слабости мышц брюшной стенки | 1 | |
| 17:32, 14 августа 2017 | Bol spina36.jpg (файл) | 19 КБ | Нагрузка на структуры позвоночника при сгибании и разгибании. | 1 | |
| 17:30, 14 августа 2017 | Bol spina35.jpg (файл) | 15 КБ | Сближение суставных отростков при воздействии сил, направленных на смещение вышележащего позвонка кпереди | 1 | |
| 17:29, 14 августа 2017 | Bol spina34.jpg (файл) | 16 КБ | Дугоотростчатый сустав поясничного отдела позвоночника | 1 | |
| 17:27, 14 августа 2017 | Bol spina33.jpg (файл) | 12 КБ | Ориентация фасеточных суставов в шейном, грудном и поясничном отделах позвоночника | 1 | |
| 17:26, 14 августа 2017 | Bol spina32.jpg (файл) | 9 КБ | Локализация боли, отраженной от суставов шейного отдела позвоночника | 1 | |
| 17:14, 14 августа 2017 | Bol spina31.jpg (файл) | 29 КБ | Схема локализации чувствительных зон при фибромиалгии | 1 | |
| 17:00, 14 августа 2017 | Bol spina30.jpg (файл) | 42 КБ | Локализация Т3 и паттерн отраженной боли при МФБС а) большой ягодичной; б) средней ягодичной; в) грушевидной мышцы | 1 | |
| 17:00, 14 августа 2017 | Bol spina29.jpg (файл) | 24 КБ | Локализация Т3 и паттерн отраженной боли при МФБС в подвздошно-поясничной мышце | 1 | |
| 16:59, 14 августа 2017 | Bol spina28.jpg (файл) | 24 КБ | Локализация Т3 и паттерн отраженной боли при МФБС квадратной мышцы поясницы | 1 | |
| 16:59, 14 августа 2017 | Bol spina27.jpg (файл) | 24 КБ | Локализация ТЗ и паттерн отраженной боли при МФБС в многораздельных мышцах | 1 | |
| 16:58, 14 августа 2017 | Bol spina26.jpg (файл) | 22 КБ | Локализация ТЗ и паттерн отраженной боли при МФБС подвздошнореберной (а) и длиннейшей мышцы спины (б) | 1 | |
| 16:57, 14 августа 2017 | Bol spina25.jpg (файл) | 25 КБ | Локализация Т3 и паттерн отраженной боли при МФБС большой грудной мышцы | 1 | |
| 16:57, 14 августа 2017 | Bol spina24.jpg (файл) | 14 КБ | Локализация Т3 и паттерн отраженной боли при МФБС ромбовидной мышцы | 1 | |
| 16:52, 14 августа 2017 | Bol spina23.jpg (файл) | 22 КБ | Локализация Т3 и паттерн отраженной боли при МФБС верхней задней зубчатой мышцы | 1 | |
| 16:51, 14 августа 2017 | Bol spina22.jpg (файл) | 27 КБ | Локализация Т3 и паттерн отраженной боли при МФБС широчайшей мышцы спины | 1 | |
| 16:49, 14 августа 2017 | Bol spina21.jpg (файл) | 19 КБ | Локализация Т3 и паттерн отраженной боли при МФБС малой грудной мышцы | 1 | |
| 16:47, 14 августа 2017 | Bol spina20.jpg (файл) | 22 КБ | Локализация Т3 и паттерн отраженной боли в передней лестничной мышце | 1 | |
| 16:26, 14 августа 2017 | Bol spina19.jpg (файл) | 25 КБ | Частота выявления болезненности и уплотнения при пальпации «статических» мышц у здорового человека | 1 |
