Боль в спине: обследование пациентов
Источник: «Боль в спине»
Автор: Авторы: Подчуфарова Е.В., Яхно Н.Н. 2013.
Содержание
Обследование пациентов с болью в спине[править | править код]
Анализ жалоб и анамнеза[править | править код]
Несмотря на различия в описании боли у каждого пациента, важно активно выявлять характеристики, позволяющие предположить патофизиологический механизм, лежащий в основе формирования ощущения боли. Так, наличие острой, четко локализованной боли, быстро регрессирующей на фоне приема анальгетиков, не сопровождающейся изменением поверхностной чувствительности характерно для ноцицептивных (соматогенных) болевых синдромов, связанных, например, с повреждением суставов позвоночника, связочного аппарата и мышц. Возникновение стреляющей, жгучей, плохо локализованной боли, сопровождающейся изменением чувствительности в зоне иннервации поврежденного заднего корешка, характерно для невропатического болевого синдрома, обусловленного компрессионной или воспалительной радикулопатией. В этом случае уже при расспросе пациента можно выявить симптомы чувствительных нарушений: аллодинию (болевые ощущения, возникающие при воздействии неболевого раздражителя), парестезии (неболевые спонтанные ощущения - «ползание мурашек») и дизестезии (неприятные спонтанные или индуцированные ощущения). Повреждение переднего корешка или спинномозгового нерва вызывает двигательные и иногда вегетативные нарушения (изменение потоотделения, температуры кожи и др.).
Хроническая боль в спине может формироваться на основании различных патофизиологических механизмов или их сочетания - ноцицептивного, невропатического и психогенного, но их удельный вес может быть различным. Ноцицептивный механизм может играть ведущую роль при формировании хронического болевого синдрома, связанного, например, с поражением суставов (дугоотростчатых и крестцово-подвздошных). Такая боль обычно носит ноющий характер, возникает или усиливается при нагрузке на измененные суставы и кратковременно (на время действия анальгетического препарата) уменьшается после введения в область пораженного сустава местного анестетика. Во всех случаях необходим анализ ситуации, в которой возникла боль, факторы, усиливающие и ослабляющие ее, особенности предшествующих обострений. Боль при поражении внутренних органов (висцеральная боль) часто плохо локализована, может сопровождаться тошнотой, изменением окраски кожных покровов, избыточным потоотделением, носит коликообразный («спазматический») характер, часто иррадиирует в противоположную половину тела.
Причудливые описания болевых ощущений (сенестопатии) позволяют заподозрить наличие психогенного болевого синдрома, но его диагностика возможна только при исключении других причин формирования боли.
Боль в поясничном отделе позвоночника без иррадиации в конечности у пациента моложе 50 лет при отсутствии злокачественного новообразования в анамнезе, клинических и лабораторных признаков системного заболевания, неврологических нарушений с вероятностью более 99% обусловлена доброкачественными скелетно-мышечными расстройствами, в частности МФБС или суставно-связочной дисфункций. Тем не менее, уже при первом обследовании пациента важно выявить симптомы, указывающие на то, что боль в спине может быть симптомом более серьезной, обычно соматической, патологии. Так, следует обращать внимание на наличие лихорадки, локальной болезненности и повышения местной температуры в паравертебральной области, которые характерны для инфекционного поражения позвоночника. Его риск повышен у пациентов, получавших иммуносупрессивную и инфузионную терапию, страдающих ВИЧ-инфекцией
и наркоманией. О наличии опухоли (первичной или метастатической) может свидетельствовать беспричинное снижение массы тела, злокачественное новообразование любой локализации в анамнезе, сохранение боли в покое и ночью, а также возраст пациента более 50 лет. Компрессионный перелом позвоночника чаще диагностируют при травмах, остеопорозе (достаточно длительном приеме глюкокортикоидов и у пациентов старше 50 лет). Воспалительную спондилоартропатию можно заподозрить при наличии сопутствующего увеита и артралгий другой локализации (в том числе в анамнезе).
В табл. 1 представлена чувствительность и специфичность симптомов опасных заболеваний, потенциально вызывающих боли в спине [M. Harwood, 2005].
Таблица 1. Чувствительность и специфичность симптомов опасных заболеваний, потенциально вызывающих боли в спине (M.Harwood, 2005)
|
Заболевание |
Симптом |
Чувствительность |
Специфичность |
|
Злокачественное новообразование |
Возраст больше 50 лет |
0,77 |
0.71 |
|
Наличие в анамнезе злокачественного новообразования |
0,31 |
0.98 | |
|
Беспричинное снижение массы тела |
0,15 |
0.94 | |
|
Отсутствие улучшения через 1 мес лечения |
0,31 |
0,90 | |
|
Сохранение боли в покое |
0,90 |
0.46 | |
|
Инфекционное поражение |
Лихорадка |
0,27-0,83 |
0.98 |
|
Болезненность при пальпации позвоночника |
0.86 |
0,60 | |
|
Компрессионный перелом |
Возраст больше 50 лет |
0.84 |
0,61 |
|
Травма в анамнезе |
0,30 |
0.85 | |
|
Длительный прием глюкокортикоидов |
0.06 |
0.995 |
*Доля больных, у которых выявлен данный симптом.
**Частота, с который данный симптом не выявляется в здоровой популяции.
Физикальное обследование[править | править код]
Физикальное обследование включает в себя неврологическое, невроортопедическое и соматическое обследование. При болях в спине и конечностях правильно проведенное клиническое обследование позволяет в большинстве случаев выявить источник (или источники) боли, уточнить патофизиологию болевого синдрома, предположить или точно определить характер основного патологического процесса.
При осмотре пациента важно обратить внимание на изменения позы, осанки, походки, наличие контрактур, деформаций и асимметрии конечностей. Необходимо оценить конфигурацию позвоночного столба, сохранность или изменение физиологического кифоза в грудном и лордоза в шейном и поясничном отделах позвоночника, их изменения (усиление или сглаженность), наличие сколиоза в положении стоя, сидя и лежа. В качестве ориентиров оценивают положение надплечий, углов лопаток, остей, гребней подвздошных костей, искажение крестцового ромба, асимметрию ягодичных складок, наличие деформации суставов (рис. 1).
При асимметрии длины ног задняя верхняя ость подвздошной кости расположена выше на стороне более длинной ноги. С этой же стороны коленный, тазобедренный, дугоотростчатые суставы и крестцово-подвздошные сочленения (КПС) испытывают повышенную нагрузку, формируется сколиоз.
При анализе походки следует обратить внимание на такие ее особенности, как избегание полного переноса массы тела на больную ногу, что приводит к укорочению времени опоры на нее (анталгическая походка). Для уменьшения нагрузки на больную ногу некоторые пациенты используют дополнительные средства для опоры - окружающие предметы, трости, костыли. При патологии тазобедренного сустава плечо на стороне поражения часто опущено. При болях в спине с иррадиацией в ногу отмечают противоположные симптомы - опущение плечевого пояса на стороне боли и перенос центра тяжести на «здоровую» сторону. Патология коленного сустава с формированием варусной или вальгусной деформации, уменьшающей длину конечности, приводит к значительному перекосу таза с наклоном его в «больную» сторону во время переноса массы тела на больную ногу. Патологические изменения стопы вызывают усиление опоры на непораженную область (пятку, наружный край стопы, иногда - переднюю часть).
При неврологическом обследовании необходимо уточнить наличие и характер двигательных нарушений, чувствительных и трофических расстройств, изменение сухожильных рефлексов. При поражении шейных, грудных, поясничных и крестцовых корешков наряду с «позитивными» чувствительными нарушениями в виде боли, аллодинии, парестезий и дизестезий необходимо выявлять и «негативные» сенсорные симптомы (гипестезию, анестезию отдельных видов чувствительности: тактильной, болевой, температурной, вибрационной или суставно-мышечной). Чувствительные, двигательные и вегетативные нарушения локализованы в зоне иннервации пораженного корешка. Одним из наиболее важных позитивных симптомов при невропатической боли, в том числе связанной с поражением спинномозговых корешков, считают аллодинию. Аллодиния - это болевое ощущение, возникающее при нанесении стимула неболевой модальности. Больные с аллодинией часто жалуются на боль, связанную с прикосновением одежды, постельного белья к области локализации аллодинии. Механическую (тактильную) аллодинию вызывают тактильные стимулы, такие как прикосновение к коже кусочком ваты или кисточкой. Температурная аллодиния (на холод или тепло) возникает при раздражении кожи стимулом низкой или высокой температуры. Гипералгезия, как и аллодиния, характерна для невропатической боли. Гипералгезию выявляют при сравнении ощущений боли при нанесении укола тупой иглой в зоне локализации боли и на участке кожи вне зоны боли, например на контралатеральной симметричной кожной зоне или на проксимальном участке кожи при дистальной локализации боли. Статическую гипералгезию вызывают легким тупым надавливанием. Особый вариант гипералгезии - гиперпатия, при которой после нанесения болевого стимула отмечают не только усиленное восприятие боли, но боль продолжается и даже может усилиться в течение нескольких секунд после прекращения болевой стимуляции. При вторичной гипералгезии, часто наблюдаемой при невропатических болях, помимо усиленного восприятия боли отмечают ее более широкое пространственное ощущение (не только в точке нанесения болевого стимула), иногда с распространением боли за пределы тестируемого дерматома.
Оценку состояния чуестеительности проводят по следующей шкале: 0 - отсутствует (больной не чувствует прикосновения ни ватой, ни кисточкой, ни рукой); 1 - резко снижена (пациент не чувствует легкого прикосновения ватой, но чувствует прикосновение кисточкой или рукой); 2 - умеренно снижена (чувствительность к легкому прикосновению ватой сохранена, но меньше, чем в интактных отделах, - проксимально или контралатерально); 3 - нормальная.
Температурную чувствительность в зоне соответствующего дерматома удобно исследовать с помощью специального цилиндра с пластиковым и металлическим концами (рис. 2) или пробирок с теплой и холодной водой. Состояние чувствительности оценивают по следующей шкале: 0 - отсутствует (больной не чувствует температурной разницы при холодном и теплом воздействии); 1 - резко снижена (пациент ошибается в определении тепла и холода, при воздействии длительностью не менее 2 с); 2 - умеренно снижена (чувствительность сохранена, но меньше, чем в интактных отделах, - проксимально или контралатерально); 3 - нормальная.
Болевую чувствительность исследуют путем нанесения легкого укола. Оценку состояния чувствительности проводят по следующей шкале: 0 - отсутствует (больной не чувствует укола); 1 - резко снижена (пациент ошибается в определении укола и тупого раздражения); 2 - умеренно снижена (чувствительность сохранена, но меньше, чем в интактных отделах, - проксимально или контралатерально); 3 - нормальная. Для определения порога болевой чувствительности на тупое надавливание используют тензоальгометр (рис. 3). Этот инструмент позволяет выявить статическую гипералгезию и количественно охарактеризовать ТЗ при МФБС и «чувствительные» точки при фибромиалгии (при надавливании на область локальной болезненности определяют порог боли и порог переносимости боли, измеряемый в кг/см2). Кроме того, с помощью тензоальгометра можно измерить сопротивление мягких тканей (напряжение мышц), соответствующее глубине, на которую возможно погружение ножки тензоальгометра (мм) при надавливании со стандартизированным усилием (3 кг).
Инструмент для исследования температурной чувствительности представляет собой цилиндр с пластиковым и металлическим концами. Оценка состояния чувствительности проводится попеременным касанием холодным (металлическим) и теплым (пластиковым) концами цилиндра. При сохранной температурной чувствительности пациент должен чувствовать разницу при холодовом и тепловом воздействии
Суставно-мышечную чувствительность исследуют в суставах дистальных фаланг пальцев на руках или ногах. Оценку состояния суставно-мышечной чувствительности проводят по следующей шкале: 0 - отсутствует (больной не чувствует движения); 1 - резко снижена (пациент ошибается в определении направления движения более чем в 50% случаев); 2 - умеренно снижена (пациент ошибается в определении направления движения менее чем в 50% случаев); 3 - нормальная.
Оценку степени нарушения вибрационной чувствительности проводят с использованием градуированного камертона (128 Гц), шкала которого имеет деления от 0 до 8 баллов (рис. 4). Пациента, лежащего с закрытыми глазами, просят сообщать о наличии вибрации. Исследователь запускает вибрацию камертона коротким ударом его бранши о ладонь. Основание камертона устанавливают на выступающих участках кости, например на тыльной поверхности концевой фаланги большого пальца стопы, тыльной поверхности первой плюсневой кости, медиальной лодыжке, передней верхней подвздошной ости, грудине, концевой фаланге указательного пальца. Уровень вибрации отражен на цифровой 8-балльной шкале на дистальной части бранш и определяется по оптическому феномену, создающему иллюзию пересечения линий. Точка пересечения линий смещается вверх от значений 0 до 8 баллов по мере угасания вибрации камертона. Пациента спрашивают, ощущает ли он вибрацию. Для повышения достоверности результатов обследования рекомендовано повторить тест несколько раз и периодически прикасаться невибрирующим камертоном. В норме показатель вибрационной чувствительности составляет больше 8 баллов для рук и 7 баллов для ног.
Двигательные нарушения чаще представлены слабостью и гипотрофией мышц в зоне иннервации пораженных корешков, а также снижением сухожильных и периостальных рефлексов. Мышечную силу оценивают по следующей условной шкале: 0 - нормальная; 1 - снижена на 25% по сравнению с интактной стороной; 2 - снижена до 50% (например, пациент не может ходить на пятках - для разгибателей стоп, на носках - для сгибателей); 3 - снижение на 75% (движения возможны только без сопротивления); 4 - снижение более 75% (мышечная сила не позволяет преодолеть силу тяжести - возможны лишь движения вниз и в сторону); 5 баллов - плегия (невозможность сокращения мышц, иннервируемых пораженным нервом).
Сухожильные рефлексы оценивают отдельно для каждой конечности. На ногах - ахилловы и коленные, на руках - карпорадиальные, а также сухожильные рефлексы с двуглавой и с трехглавой мышц. Для оценки состояния сухожильных рефлексов можно использовать следующую шкалу: 0 - отсутствуют; 1 - резко снижены; 2 - умеренно снижены; 3 - нормальные.
При оценке вегетативных и трофических нарушений необходимо обращать внимание на изменение окраски и тургора кожных покровов, наличие гиперкератоза, шелушения, гипо- и гипертрихоза, изменение скорости роста ногтей.
Необходимо знать так называемые «индикаторные» мышцы, иннервирующиеся соответствующими корешками, и типичные зоны чувствительных нарушений в соответствующих пораженному корешку дерматомах. Характерное распределение двигательных, чувствительных и рефлекторных нарушений при шейной и пояснично-крестцовой радикулопатии представлено в табл. 2 и табл.3.
Таблица 2. Симптомы поражения шейных корешков
|
Клиническая характеристика |
Иррадиация боли |
Чувствительные расстройства |
Проявления мышечной слабости |
Изменение рефлекса |
|
CIV |
Верхнешейная область |
Надплечье в виде «капюшона» |
Нет |
- |
|
CV |
Шея, лопатка, надплечье. наружная поверхность плеча |
Наружная поверхность плеча |
Отведение плеча, сгибание предплечья |
С сухожилия двуглавой мышцы плеча |
|
CVI |
Шея, лопатка, надплечье. наружная поверхность плеча и предплечья до I -II пальцев кисти |
Наружная поверхность предплечья, тыльная поверхность кисти и I - II пальцев кисти |
Разгибание кисти |
Карпорадиальный |
|
CVII |
Шея, надплечье. наружная поверхность плеча, медиальная часть лопатки до V пальцев кисти |
I ll палец кисти |
Сгибание кисти, разгибание предплечья |
С сухожилия трехглавой мышцы плеча |
|
CVIII |
Шея, медиальная часть лопатки, медиальная поверхность плеча, предплечья до IV-V пальцев кисти |
Дистальные отделы медиальной поверхности предплечья, lV пальцы кисти |
Сгибание пальцев, отведение и приведение |
Нет |
Таблица 3. Симптомы поражения поясничных корешков
|
Клиническая характеристика |
Иррадиация боли |
Чувствительные расстройства |
Проявления мышечной слабости |
Изменения рефлекса |
|
LI |
Паховая область |
Паховая область |
Сгибание бедра |
Кремастерный |
|
LII |
Паховая область, передняя поверхность бедра |
Передняя поверхность бедра |
Сгибание бедра, приведение бедра |
Аддукторный |
|
LIII |
Передняя поверхность бедра, коленный сустав |
Дистальные отделы переднемедиальной поверхности бедра, область коленного сустава |
Разгибание голени, сгибание и приведение бедра |
Коленный, аддукторный |
|
LIV |
Передняя поверхность бедра, медиальная поверхность голени |
Медиальная поверхность голени |
Разгибание голени, сгибание и приведение бедра |
Коленный |
|
LV |
Заднелатеральная поверхность бедра, латеральная поверхность голени, медиальный край стопы до пальцев стопы |
Латеральная поверхность голени, тыльная поверхность стопы, I-II пальцы |
Тыльное сгибание стопы и большого пальца, разгибание бедра |
Нет |
|
SI |
Задняя поверхность бедра и голени, латеральный край стопы |
Заднелатеральная поверхность голени, латеральный край стопы |
Подошвенное сгибание стопы и пальцев, сгибание голени и бедра |
Ахиллов |
У пациентов с болью в поясничном отделе позвоночника важно выявить симптомы поражения корешков конского хвоста, которые включают в себя: нарушение чувствительности (анестезию) в аногенитальной области и дистальных отделах ног, периферический парез мышц голеней, выпадение ахилловых рефлексов и тазовые расстройства в виде отсутствия позыва на мочеиспускание или дефекацию, задержку или недержание мочи и кала. Для скелетномышечных болевых синдромов не характерны какие-либо изменения в неврологическом статусе пациента, но в отдельных случаях МФБС, когда напряженная мышца сдавливает сосудисто-нервный пучок или нерв, отмечают парестезии, реже - гипалгезию или гипералгезию в зоне иннервации соответствующего нерва. Могут появляться преходящие вегетативные расстройства в виде отечности и негрубого изменения окраски кожи в дистальных отделах конечности. Неанатомическое («ампутационное») распределение чувствительных и двигательных нарушений прежде всего отражает их психогенное происхождение.
При обсуждении анатомических и биомеханических особенностей позвоночника выделяют такую функциональную единицу, как позвоночный двигательный сегмент (ПДС), под которым понимают сегмент позвоночника, состоящий из двух соседних позвонков, соединяющих их дугоотростчатых суставов, межпозвоночного диска и прилежащих к ним мягких тканей: фасций, мышц, связок, нервов и сосудов. Вероятно, нет ни одного патологического процесса, изолированно поражающего структуры, входящие в состав ПДС. Основная нагрузка на позвоночник заключается в воздействии на него массы тела, сокращении прикрепляющихся мышц, гравитации их внешних сил, связанных с перемещением тяжестей. Нагрузка при этом распределяется между всеми структурами ПДС. Поражение дугоотростчатых суставов приводит к изменению состояния межпозвоночного диска, и наоборот, дегенеративные изменения диска вызывают дисфункцию дугоотростчатых суставов. Дегенеративные изменения в межпозвоночном диске одного ПДС нарушают биомеханику как минимум смежных с ним сегментов. Часто используют термин «нестабильность» ПДС. Клинически применимое определение нестабильности - патологический ответ на нагрузки, характеризующийся избыточной подвижностью в измененном ПДС. Необходимая стабильность позвоночника обеспечивается посредством «пассивного» участия соединительнотканных структур и «активного» - мышц. Утрата стабильности позвоночника может быть обусловлена травмой, возрастными дегенеративными изменениями позвоночника, слабостью мышц или сочетанием этих факторов. Иногда дегенеративное поражение ПДС рассматривают как трехстадийный процесс: дисфункция, нестабильность и рестабилизация - фазы, сменяющие друг друга. В фазе дисфункции происходит травматизация ПДС. В следующей фазе развиваются дегенеративные изменения диска и дугоотростчатых суставов таким образом, что они перестают адекватно противостоять силам, воздействующим на ПДС, при этом формируется растяжение связок. В этой фазе выявляют избыточную амплитуду движений в ПДС. Кроме дегенеративных изменений позвоночника, повторные его перегрузки также предрасполагают к развитию нестабильности, поскольку приводят к разрывам фиброзного кольца, грыжам диска, травмам дугоотростчатых суставов. В ответ на указанные изменения по краям тела позвонка и межпозвоночного диска начинается разрастание остеофитов. В третьей фазе отмечают стабилизацию сегмента из-за нарастания фиброза и формирования остеофитов в области дугоотростчатых суставов и межпозвоночного диска. По-видимому, последняя фаза выполняет «защитную» функцию для рестабилизации ПДС, поскольку в фазе нестабильности, связанной с возрастом (35-55 лет), увеличивается частота боли в спине, а ее снижение типично для более пожилого возраста [J. Portefield, 1998].
Невроортопедическое обследование начинают с осмотра. Обнаружение при осмотре изменений помогает понять причины развивающихся у пациента скелетно-мышечных нарушений - асимметрии длины ног, наличие косого или скрученного таза, объяснить механизмы формирования мышечно-тонического или мышечнофасциального болевого синдрома, связанных с изменением позы и осанки.
Пальпаторно определяют болезненность мышц, суставов и связочного аппарата. При легкой пальпации с давлением около 4 кг можно выявить множественные болезненные участки, локализующиеся в разных частях тела, «чувствительные» точки, характерные для фибромиалгии. Для МФБС характерны ТЗ - участки локальной болезненности в виде тугого тяжа, расположенные вдоль мышечных волокон, выявляющиеся при пальпации мышц. Распространенная болезненность мягких тканей даже при легкой, поверхностной пальпации чаще всего отражает наличие психогенных расстройств (неадекватного болевого поведения). Также необходимо оценивать активные и пассивные движения в шейном, грудном и пояснично-крестцовом отделе позвоночника.
В норме в шейном отделе позвоночника ротация составляет 80°, боковые наклоны - 45°, разгибание - 75°, сгибание - 60° (рис. 5). В плечевом суставе амплитуда движений в сагиттальной плоскости составляет 180 ° (суммарное сгибание и разгибание). По 90° приходится на наружную и внутреннюю ротацию. Суммарный объем приведения и отведения во фронтальной плоскости равен 180°. Для быстрой оценки функции плечевого сустава исследуют комбинированные движения. Пациента просят заложить руки за голову, стараясь дотронуться до мочки противоположного уха (оценивается наружная ротация, отведение и сгибание, а также функция надостной, подостной и малой круглой мышц), и завести руки за спину, стараясь коснуться углов лопаток (внутренняя ротация, отведение и разгибание в плечевом суставе, функция подлопаточной мышцы). Если пациент свободно выполняет оба движения, маловероятно, что имеется патология плечевого сустава и вращающей манжеты плеча.
При обследовании пациента с болями в шее и руке полезными могут оказаться пробы на корешковую компрессию: наклон головы в больную сторону с последующим аксиальным давлением на нее приводит к появлению или усилению иррадиирующей боли и парестезий в руке.
Проба Адсона позволяет выявить признаки компрессии сосудисто-нервного пучка под передней лестничной мышцей. Пациента просят сделать глубокий вдох, поднять и повернуть подбородок в пораженную сторону. При этом происходит максимальный подъем первого ребра, прижимающего сосудисто-нервный пучок к напряженной мышце. Пробу считают положительной, если она приводит к ослаблению или исчезновению пульса на лучевой артерии с той же стороны.
Набор методов невроортопедического обследования грудного отдела позвоночника ограничен. Грудная клетка создает относительно «жесткий» каркас, ограничивая объем движений в отдельном позвоночном сегменте. При осмотре можно выявить сколиоз в грудном отделе позвоночника. Его локализацию более точно можно определить по вершине дуги (грудной, тораколюмбальный), а направление - по стороне выпуклости. Сколиоз может быть компенсированным (отвес, укрепленный над остистым отростком первого грудного позвонка, проецируется над крестцом) или декомпенсированным (остистый отросток расположен латеральнее крестца). Для дифференциальной диагностики структурного (часто наследственного) и функционального сколиоза, возникающего, в частности, на фоне «косого таза», применяют тест Адамса. Сидящего или стоящего пациента просят наклониться вперед. Если при выполнении сгибания сколиоз сохраняется в том же месте, где он выявлялся в положении стоя или сидя с прямой спиной, то у пациента имеются грубые изменения, характерные для структурного сколиоза. При грудном сколиозе ротация позвонков может приводить к формированию «грудного горба» на стороне выпуклости сколиоза.
Наиболее популярным методом определения подвижности грудного отдела позвоночника считают оценку его движений при разгибании. Пациент, сидя на кушетке или табуретке, соединяет руки за головой и приводит локти друг к другу. Врач одной рукой фиксирует предплечья пациента спереди, а другой поочередно пальпирует отдельные сегменты между остистыми отростками, определяя в них подвижность при сгибании и разгибании позвоночника. Данный тест помогает оценить подвижность отдельных сегментов грудного отдела и при боковых наклонах. Функциональное ограничение подвижности (блокирование) в грудном отделе позвоночника можно выявить у пациента, находящегося в положении лежа на животе, оценивая экскурсию грудной клетки при медленном глубоком вдохе и выдохе. На вдохе увеличивается расстояние между остистыми отростками. В той области, где оно отсутствует, скорее всего, имеется функциональная блокада позвоночных сегментов или ребернопоперечных суставов.
Компрессия подключичной артерии малой грудной мышцей подтверждается положительным результатом пробы Райта, заключающейся в исчезновении пульса на лучевой артерии при наружной ротации и отведении плеча. Этот невроваскулярный синдром отмечается при МФБС или мышечно-тоническом синдроме малой грудной мышцы.
Изменение амплитуды движений в поясничном отделе позвоночника может быть обусловлено различными причинами: изменениями в ПДС (поражение межпозвоночных суставов, диска), мышечнотоническими синдромами. Сгибание в поясничном отделе позвоночника можно определить с помощью сантиметровой ленты (тест Шобера). Первую отметку устанавливают на уровне LV, что примерно соответствует пересечению линии, соединяющей задние верхние подвздошные ости, с линией, соединяющей остистые отростки. Вторую метку ставят на 10 см выше, а третью - на 5 см ниже первой. После этого пациента просят наклониться вперед, не сгибая ног в коленных суставах, и постараться дотянуться кончиками пальцев рук до пола. Увеличение расстояния между верхней и нижней меткой в норме составляет как минимум 5 см.
Нормальная амплитуда остальных движений в поясничном отделе позвоночника при фиксированных коленных и тазобедренных суставах составляет 30° для разгибания, 25°- для бокового наклона, 45°- для ротации. Для оценки амплитуды движений можно использовать ручной гониометр (рис. 6).
В тазобедренном суставе нормальная амплитуда движений составляет около 120° при сгибании, по 45°- при отведении, наружной и внутренней ротации, 30°- при приведении, 15°- при разгибании. За исключением разгибания объем всех движений в тазобедренном суставе целесообразно исследовать в положении пациента лежа на спине. Разгибание оценивают при помощи теста Томаса в положении больного лежа на животе - обеспечивают неподвижность таза давлением одной рукой на крестец, а другой рукой, находящейся под бедром, производят разгибание ноги в суставе.
При люмбоишиалгических синдромах клиническое значение имеет определение угла подьема прямой ноги (симптом Ласега). Для компрессионной радикулопатии характерно его ограничение от 30° до 50°, иррадиация боли из пояснично-крестцовой области по задненаружной поверхности ноги до пальцев стопы и ее усиление при тыльном сгибании стопы и наклоне головы вперед. Необходимо отметить, что положительный симптом Ласега нельзя интерпретировать исключительно как результат «натяжения» корешка или нервных стволов. Наиболее частая причина его появления - растяжение задней группы мышц бедра и ягодичных мышц, особенно если в них имеются ТЗ при МФБС. Возникновение боли в ягодицах и крестце при проверке симптома Ласега обусловлено растяжением капсулы блокированного КПС и последующим рефлекторным напряжением мышц поясничнокрестцовой области.
Диагностика дисфункции КПС, недоступных для пальпации, достаточно трудна. Существует несколько ориентировочных невроортопедических тестов для выявления их патологии. Например, на стороне дисфункции (блокады) сочленения отмечают опущение ягодичной складки и задней верхней ости подвздошной кости. При наклоне вперед при укорочении связок крестец увлекает блокированную половину таза таким образом, что опущенная верхняя ость оказывается выше («феномен опережения», проба Пьедаля), а через 20-30 с из-за релаксации связок вновь происходит опущение блокированной половины таза. Также применяют тесты, направленные на увеличение нагрузки на КПС в виде надавливания на обе боковые половины таза в направлении сверху вниз при положении больного лежа на спине (дистракционный тест) или на половину таза в положении лежа на боку. Оценивают возникновение болезненности в проекции КПС.
При отсутствии патологии тазобедренного сустава для диагностики крестцово-подвздошного блока используют феномен Патрика - ограничение и болезненность в проекции КПС при пассивной ротации бедра согнутой в коленном и тазобедренном суставах ноги кнаружи (пятка касается области коленного сустава другой выпрямленной ноги).
При оценке состояния связок тазового пояса применяют следующие методики: для исследования подвздошно-поясничной связки необходимо согнуть ногу пациента в коленном и тазобедренном суставе на 90°, привести колено кнутри и произвести толчок по оси бедра. Для исследования подвздошно-крестцовой связки колено приводят к противоположному плечу, а усилие оказывают по оси бедра. Аналогично исследуют крестцово-бугорную связку, но колено приводят по направлению к гомолатеральному плечу. Появление болезненности в проекции указанных связок указывает на их укорочение. Для оценки состояния мышц их пальпируют с целью выявления ТЗ, оценки мышечного тонуса, проводят тесты на сокращение и растяжение мышц.
При напряжении грушевидной мышцы в положении пациента лежа на животе отмечается болезненность при абдукции согнутой в коленном суставе ноги и ограничение ее внутренней ротации (проба Бонне), при которых происходит соответственно растяжение и сокращение заинтересованной мышцы. При боли в области копчика (кокоцигодиния) наиболее информативным считают его перректальное исследование, позволяющее выявить смещение копчика, его избыточную подвижность (гипермобильность).
Кроме выявления симптомов скелетно-мышечной дисфункции, важно обращать внимание на наличие поведенческих симптомов, отражающих психологические нарушения у пациентов с болями в спине и конечностях. При люмбалгии и люмбоишиалгии часто встречаются симптомы болевого поведения, описанные G. Waddell (1987). К ним относят значительное увеличение угла подъема ноги во время оценки симптома Ласега при отвлечении внимания. Отвлечение внимания пациента не должно быть болезненным, неожиданным или пугающим. Самым простым считают наблюдение за пациентом, когда он думает, что не подвергается обследованию: при одевании, раздевании, вставании с кушетки. Если симптом Ласега положителен при стандартном обследовании, всегда следует попытаться проверить его при отвлечении внимания. В частности, можно просто попросить пациента сесть на кушетку. Исследуя коленные или ахилловы рефлексы, можно попросить больного выпрямить ногу для «обследования коленного сустава» или вызывания подошвенного рефлекса. Учитывая возможность физиологического изменения угла подъема прямой ноги в положении лежа и сидя на 10-20° за счет изменения лордоза и положения таза, значимой считают разницу как минимум в 40°. Имитационные тесты направлены на создание у пациента впечатления о совершаемом воздействии на поясничный отдел позвоночника при отсутствии такового воздействия в действительности. Один из имитационных тестов - давление на область макушки находящегося в вертикальном положении пациента. Появление боли в поясничном отделе позвоночника считают поведенческим симптомом. При проведении этого теста у пациента может возникнуть боль в шейном отделе позвоночника, что не относят к признакам болевого поведения, в таком случае можно применить давление на надплечья. Боль в поясничной области у некоторых больных может также появляться при имитации ротации, когда исследующий намеренно исключает из движения поясничный отдел позвоночника (фиксирует его), а вращение осуществляется путем движения в тазобедренных, коленных и голеностопных суставах. При обследовании важно избегать какого-либо внушения. Следует задавать только вопрос, что чувствует пациент, не больно ли ему. Другими поведенческими симптомами считают наличие распространенной поверхностной болезненности, которая может возникать при легкой пальпации, а в отдельных случаях распространяется от затылка до копчика, ограничиваясь средними подмышечными линиями, неанатомическое (регионарное, «ампутационное») распределение двигательных и чувствительных нарушений.
Соматическое обследование направлено на исключение висцеральной патологии как причины боли в спине и конечностях. Оно включает в себя выявление беспричинного похудания, лихорадки, изменения окраски кожных покровов, пальпацию органов брюшной полости и малого таза, аускультацию сердца и легких. Пациентам с болью в тазовой и крестцовой области необходимо проводить ректальное исследование для исключения гинекологической или урологической патологии. Во всех случаях подозрения на висцеральный источник боли необходимо направить пациента на консультацию к соответствующему специалисту (урологу, проктологу, гинекологу, кардиологу).
Для измерения интенсивности боли у взрослых наиболее удобны визуальная аналоговая шкала (ВАШ) и визуальная ранговая шкала (ВРШ).
ВАШ представляет собой линию длиной 10 см, на которой пациенту предлагают сделать отметку, соответствующую интенсивности испытываемой в данный момент боли. Расстояние между началом шкалы «нет боли» и сделанной пациентом отметкой измеряют в сантиметрах и переводят в баллы. Один сантиметр ВАШ соответствует одному баллу (рис. 7). Модификация ВАШ-ВРШ, заполнение которой предполагает отметку пациентом в одном из 11 пунктов, соответствующих интенсивности ощущаемой в момент обследования боли. Баллы ВРШ примерно соответствуют баллам ВАШ (0 баллов - нет боли, 10 баллов - максимальная ее интенсивность).
Для выявления «невропатической» составляющей боли можно применять опросники для диагностики невропатической боли «Paindetect», DN4 (Douleur Neuropathique 4 questions) и оценочную шкалу невропатических симптомов и признаков университета г. Лидс (Leeds Assessment of Neuropathic Symptoms and Signs) (Приложения 2, 3, 4 соответственно). Опросник для диагностики невропатической боли и оценочная шкала невропатических симптомов и признаков университета г. Лидс - комбинированные шкалы, включающие оценку как субъективных жалоб, так и объективной неврологической симптоматики. Согласно опроснику DN4 для диагностики невропатической боли при положительном ответе на 4 и более вопроса из 10 у пациента можно предположительно диагностировать невропатический болевой синдром. С помощью опросника для диагностики невропатической боли «Paindetect» можно оценить характеристики боли, наличие ощущений жжения, покалывания, прохождения электрического тока, чувствительности к прикосновению, легкому давлению, воздействию теплой или холодной температуры в зоне боли (по 6-балльной системе - от 0 до 5) (оценка 19 баллов и выше свидетельствует о наличии выраженного невропатического компонента). Шкала также помогает оценить динамику болевого син дрома (например, наличие болевых приступов разной интенсивности и продолжительности), ее локализацию и интенсивность.
Для оценки инвалидизации у пациентов с болью в поясничной области применяют опросник Освестри, показывающий в какой степени боль влияет на повседневную активность пациента (Приложение 5).
Инструментальные и лабораторные методы[править | править код]
В подавляющем числе случаев острая и хроническая боль в спине - «доброкачественное» состояние, и большинство пациентов не нуждается в проведении дополнительных инструментальных исследований. Однако наличие выраженных неврологических и соматических расстройств может потребовать срочного параклинического обследования. Так, слабость в мышцах ног, снижение чувствительности в аногенитальной области («седловидная анестезия»), тазовые нарушения указывают на компрессию корешков конского хвоста и требуют незамедлительного проведения магнитно-резонансной томографии (МРТ) или компьютерной томографии (КТ) позвоночника с последующей консультацией нейрохирурга для решения вопроса о необходимости срочного оперативного вмешательства. При отсутствии связи боли с движением, ее появлении в ночное время, наличии в анамнезе злокачественного новообразования, ВИЧ-инфекции, применения иммунодепрессантов, внутривенных инфузий, беспричинного снижения массы тела, лихорадки и ночного гипергидроза, при возрасте больного младше 20 и старше 50 лет необходимо провести дополнительные исследования уже при первом обращении пациента для исключения прежде всего инфекционного и опухолевого поражения позвоночника. Во всех перечисленных случаях необходима рентгенография позвоночника в прямой и боковой проекции, исследование общего анализа крови и мочи, а при подозрении на остеомиелит, эпидуральный абсцесс и поражение корешков конского хвоста - дополнительное проведение КТ или МРТ пояснично-крестцового отдела позвоночника. При необходимости (подозрении на онкологическое заболевание) уточнения состояния костных структур иногда после проведения рентгенографии целесообразна сцинтиграфия. При подозрении на злокачественное новообразование предстательной железы необходимо исследовать концентрацию простат-специфического антигена в крови. При наличии травмы в анамнезе (падение с высоты, дорожно-транспортные происшествия), а также при длительном приеме глюкокортикоидов и возрасте пациента более 55 лет необходимо провести рентгенографию позвоночника, а при недостаточной ее информативности и сохранении болей дольше 10 дней - сцинтиграфию или КТ позвоночника. Костная денситометрия показана всем женщинам старше 65 лет, женщинам в постменопаузальном периоде моложе 65 лет при наличии факторов риска остеопороза, мужчинам старше 70 лет, взрослым с переломами при минимальной травме, при заболеваниях или состояниях, приводящих к снижению минеральной плотности костной ткани, приеме препаратов, снижающих костную массу. Всем пациентам с острым болевым синдромом длительностью больше 1 мес, а также всем пациентам с хроническими болями в спине показано проведение рентгенографии позвоночника в прямой и боковой проекции для исключения опухолевого поражения позвоночника. При наличии клинических симптомов компрессии корешков или спинного мозга и в других диагностически сомнительных случаях показано проведение МРТ соответствующего отдела позвоночника для уточнения состояния структур позвоночного канала и определения дальнейшей тактики ведения пациента. В табл. 4 описаны основные маркеры потенциально опасных заболеваний, вызывающих острые боли в спине, заболеваний, связанных с наличием боли, и необходимый объем дообследования пациентов.
При болях в поясничном отделе позвоночника и конечностях особое значение имеют методы визуализации, целесообразность применения которых определяется длительностью болевого синдрома, анамнестическими особенностями и наличием изменений в неврологическом и соматическом статусе пациента.
Таблица 4. Признаки потенциально опасных заболеваний, являющихся возможными причинами острой боли в спине и необходимый объем дополнительного обследования
|
Признак |
Предполагаемая причина боли |
Объем дополнительного обследования* | |||||
|
синдром компрессии конского хвоста |
перелом |
опухоль |
инфекционное поражение |
общий анализ а крови, С-реактивный белок |
R-графия позвоночника |
КТ/ МРТ позвоночника | |
|
Возраст >50 лет |
- |
X |
X |
- |
1* |
1 |
2 |
|
Лихорадка, недавно перенесенные инфекции мочевыводящих путей, кожных покровов, нарушение целостности кожи вблизи позвоночника |
X |
1 |
1 |
1 | |||
|
Недавно перенесенное оперативное вмешательство на позвоночнике и близлежащих структурах |
- |
- |
- |
X |
1 |
1 |
1 |
|
Недавно перенесенная значимая травма (автоавария, падение с высоты и т.п.) |
- |
X |
- |
- |
- |
1 |
2 |
|
Ночная боль и боль, не связанная с движением |
- |
- |
X |
X |
1* |
1 |
2 |
|
Нарастающие двигательные или чувствительные расстройства |
X |
- |
X |
- |
- |
- |
1 |
|
«Седловидная» анестезия, двусторонняя иррадиация боли в ноги, слабость в ногах, тазовые нарушения |
X |
- |
- |
- |
- |
- |
1 |
|
Необъяснимое снижение массы тела |
- |
- |
X |
- |
1* |
1 |
2 |
|
Злокачественное новообразование в анамнезе или обоснованное подозрение на его наличие при осмотре |
- |
- |
X |
- |
1* |
1 |
2 |
|
Остеопороз |
- |
X |
- |
- |
- |
1 |
2 |
|
Применение иммуносупрессантов |
- |
- |
- |
X |
1 |
1 |
2 |
|
Хроническое применение кортикостероидов |
- |
X |
- |
X |
1 |
1 |
2 |
|
Внутривенные инфузии лекарственных препаратов |
- |
- |
- |
X |
1 |
1 |
2 |
|
Алкоголизм и наркомания |
- |
X |
- |
X |
1 |
1 |
2 |
|
Отсутствие улучшения через 6 недель лечения |
- |
- |
X |
X |
1* |
1 |
2 |
Примечание: 1 - начальное обследование. 2 - возможное дальнейшее обследование в диагностически неясных случаях. *Исследование простатоспецифического антигена у мужчин с предполагаемым злокачественным новообразованием.
Рентгенография позвоночника[править | править код]
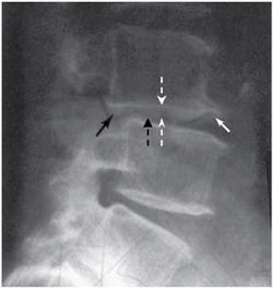
В подавляющем большинстве случаев рентгенологическое исследование, в первую очередь проводящееся для исключения потенциально опасных заболеваний, симптомом которых может быть боль в спине (рис. 8), выявляет также дистрофические изменения позвоночника (остеохондроз) в виде уменьшения межпозвоночных промежутков, субхондрального остеосклероза, формирования остеофитов, кальцификации пульпозного ядра и (или) фиброзного кольца, артроза дугоотростчатых суставов, скошенной формы тел и смещение позвонков (рис. 9). Рентгенография позвоночника помогает в диагностике спондилолистеза (рис. 10), классификация которого основана на степени смещения вышележащего позвонка относительно нижележащего. I степени спондилолистеза соответствует смещение тела позвонка менее чем на 25% его сагиттального размера, II - на 25-50%, III - на 50-75%, IV - на 75-100%. I и II степени относят к умеренно выраженному спондилолистезу.
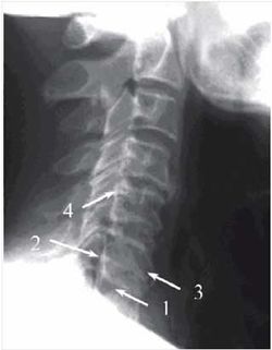
При рентгенографии с функциональными пробами (сгибание, разгибание в шейном или поясничном отделе позвоночника) возможно выявление ограничения подвижности (функциональной блокады) или гипермобильности (нестабильности) отдельных ПДС (рис. 11).
Строение тел III-VI шейных позвонков отличается тем, что по заднелатеральному их краю формируются так называемые крючки тела позвонка. В норме между ними и телами расположенных выше позвонков находится межпозвоночный диск. При этом крючки тела позвонка препятствуют сдавлению спинномозговых нервов при задней протрузии межпозвоночного диска. Однако по мере уменьшения высоты диска и увеличения размеров крючков они достигают нижней поверхности дуги вышележащего
Отмечается субхондральный остеосклероз (черная пунктирная стрелка), снижение высоты межпозвоночного промежутка (белая пунктирная стрелка), формирование остеофитов (белая стрелка), задний спондилолистез (черная стрелка) позвонка, формируя там неоартроз - унковертебральное сочленение, которое нельзя считать истинным синовиальным сочленением [Д.Г. Боренштейн и др., 2005; П.Л. Жарков, 1994].
Магнитно-резонансная томография позвоночника[править | править код]
К дистрофическим изменениям позвоночника, определяемым при МРТ, относят снижение интенсивности сигнала от дисков, их выпячивание, формирование протрузий, экструзий и секвестрация, складчатость фиброзного кольца, изменение сигнала от концевых пластинок, «вакуум-феномен», стеноз канала. Под выпячиванием диска понимают циркулярное, симметричное выбухание фиброзного кольца диска за пределы замыкательных пластинок тел прилежащих позвонков. Термин «протрузия» (грыжа пульпозного ядра, пролапс) означает истончение фиброзного кольца с фокальным пролабированием пульпозного ядра за края замыкательных пластинок тел прилежащих позвонков. При протрузии не нарушается целостность задней продольной связки и сохраняются самые наружные волокна фиброзного кольца. Экструзия - пролабирование пульпозного ядра за пределы фиброзного кольца, при этом часть диска, подвергшаяся экструзии, связана с оставшимся пульпозным ядром тонкой ножкой (рис. 12). Протрузии и экструзии по направлению их пролабирования условно подразделяют на передние (расположенные по передней полуокружности тел позвонков, не имеющие большого клинического значения) и задние. Последние можно разделить на латеральные (направленные в сторону межпозвоночного отверстия), парамедианные и срединные (рис. 13). Секвестрация - термин, применяющийся для обозначения формирования свободного фрагмента, полностью утратившего связь с диском.
Методы визуализации с высокой частотой выявляют патологию межпозвонковых дисков (дегидратация, протрузии, экструзии) даже у асимптомных обследованных. Асимптомные протрузии дисков выявляют в 35% случаев в возрастной группе от 25 до 39 лет и в 100% случаев у лиц старше 60 лет. Не выявлено прямой зависимости между размерами центрального канала, протрузией и экструзией дисков и появлением признаков компрессии корешков. Соответственно, интерпретацию данных визуализации необходимо проводить только при сопоставлении с данными неврологического и невроортопедического обследования пациента.
Для исключения стеноза спинномозгового канала необходимо знание его нормальных размеров. Его сагиттальный размер в шейном отделе позвоночника колеблется от 21 мм на уровне CI-СIII до 18 мм на уровне CIV-СVII. При этом переднезадний размер спинного мозга в шейном отделе позвоночника составляет от 7 до 11 мм, занимая до 40% позвоночного канала. При экстензии сагиттальный размер позвоночного канала уменьшается на 2-3 мм, что создает условия для повреждения спинного мозга при гиперэкстензионных травмах у лиц с врожденной или приобретенной узостью позвоночного канала. В поясничном отделе сагиттальный размер позвоночного канала в среднем составляет около 18 мм. Отмечают тенденцию к изменению формы позвоночного канала от LI к LV. Переднезадний размер позвоночного канала в поясничном отделе позвоночника минимален на уровне тел LIII и LIV; это создает условия для более частого формирования на этом уровне поясничного стеноза при дистрофическом изменении позвоночника и дугоотростчатых суставов.
При подозрении на стеноз позвоночного канала, особенно корешковых каналов, целесообразно учитывать выраженность дистрофических изменений дугоотростчатых суставов по данным МРТ (табл. 5) [D. Weishaupt и др., 1999].
Таблица 5. Выраженность дистрофических изменений дугоотростчатых суставов по данным магнитно-резонансной томографии (D. Weishaupt, 1999)
|
Степень |
Изменения при МРТ |
|
0 |
Нормальный сустав (ширина суставной щели - 2-4 мм) |
|
1 |
Сужение суставной щели, небольшие остеофиты или небольшая гипертрофия суставного отростка |
|
2 |
Сужение суставной щели, сочетающееся со склерозом, умеренно выраженными остеофитами, умеренно выраженной гипертрофией суставного отростка или с наличием легких субартикулярных костных эрозий |
|
3 |
Сужение суставной щели, сочетающееся с выраженными остеофитами, гипертрофией суставного отростка, субартикулярными костными эрозиями или субхондральными кистами |
Следует иметь в виду, что в шейном отделе позвоночника корешок выходит через межпозвоночное отверстие над соответствующим шейным позвонком (например, С5 - в отверстие между позвонками СV и CVI), а в поясничном отделе - под соответствующим по номеру поясничным позвонком (корешок L5 выходит через отверстие на уровне LV-S1). Эти особенности имеют значение для правильной интерпретации данных КТ и МРТ.
Электронейромиография (ЭНМГ)[править | править код]
Этот метод исследования у пациентов с болью в спине целесообразно проводить для дифференциальной диагностики корешкового или неврального уровня поражения в сомнительных случаях. При ЭНМГ анализируют скорости проведения возбуждения (СПВ) по двигательным и чувствительным волокнам периферических нервов, амплитуды M-ответа (суммарного потенциала действия мышцы в ответ на одиночное электрическое раздражение двигательного или смешанного нерва) и S-ответа (суммарного потенциала действия сенсорного нерва, получаемого при его стимуляции). С помощью ЭНМГ можно выявить изменение параметров F-волн (методика, позволяющая оценить распространение возбуждения по наиболее проксимальным отрезкам нервов). При поражении шейных и пояснично-крестцовых корешков показана игольчатая электромиография (ЭМГ), выявляющая денервационные изменения в мышцах конечностей, иннервирующихся пораженным корешком, а также в паравертебральных мышцах, иннервируемых ветвями соответствующих спинномозговых нервов.
Читайте также[править | править код]
- Боль в спине: эпидемиология и факторы риска
- Морфофункциональные основы боли в спине
- Скелетно-мышечные болевые синдромы
- Корешковые и дискогенные болевые синдромы
- Другие причины боли в спине
- Психологические аспекты боли в спине
- Лечение боли в спине
- Боль в пояснице
Список рекомендуемой литературы[править | править код]
- Белова А.Н., Щепетова О.Н. Шкалы, тесты и опросники в медицинской реабилитологии. - М.: Антидор, 2001. - 439 с. Болезни нервной системы. Руководство для врачей /Под ред. Н.Н. Яхно. - М.: Медицина, 2007. - Т. 1-2.
- Боль. Руководство для врачей и студентов / Под ред. Н.Н. Яхно. - М., Медпресс, 2009. - 300 с.
- Боренштейн Д.Г., Визель С.В., Боден С.Д. Боли в шейном отделе позвоночника. Диагностика и комплексное лечение: Пер. с англ. - М.: Медицина, 2005. - 790 с.
- Букуп К. Клиническое исследование костей, суставов и мышц. - М.: Медицинская литература, 2007. - 295 с. Доэрти М., Доэрти Д. Клиническая диагностика болезней суставов. - Минск: Тивали, 1993. - 144 с.
- Есин Р.Г., Файзуллин Р.И., Рогожин А.А. и др. Клиническая миология - Казань: Фэн, 2003. - 271 с.
- Жарков П.Л. Остеохондроз и другие дистрофические изменения позвоночника. - М.: Медицина, 1994. - 191 с.
- Иваничев Г.А. Мануальная медицина. - М.: Медпресс, 2005. - 486 с.
- Команцев В.Н., Заболотных В.А. Методические основы клинической электронейромиографии. - СПб: Лань, 2001. - 350 с.
- Попелянский Я.Ю. Ортопедическая неврология. - Казань, 1997. - Т. 1-2.
- Тревел Д.Г., Симонс Д.Г. Миофасциальные боли. - М.: Медицина, - 1989. - Т. 1-2.
- Хабиров Ф.А. Руководство по клинической неврологии позвоночника. - Казань: Медицина, 2006. - 518 с.
- Bennett M. The LANNS Pain Scale the Leeds assessment of Neuropathic symptoms and signs // Pain - 2001. - Vol. 92. - P. 147-157.
- Bouhassira D., Attal N., Alchaar H. et al. Comparison of pain syndromes associated with nervous or somatic lesion and development of new neuropathic pain diagnostic questionnaire (DN4) // Pain. - 2005. - Vol. 114. - P. 29-36.
- Freynhagen R., Baron R., Gockel U. et al. PainDETECT: a new screening questionnaire to identify neuropathic components in patients with back pain // Curr Med Res Opin. - 2006. - Vol. 22. - P. 1911-1920.
- Harwood MI Low Back Pain: A Primary Care Approach // Clin Fam Pract. - 2005. - Jun, 7(2). - P. 279-303.
- Kinkade S. Evaluation and Treatment of Acute Low Back Pain // American Family Physician. - 2007. - Vol. 75. - № 8. - P. 1181-1188.
- Porterfield J., De Rosa C. Mechanical low back pain. 2nd ed. - Philadelphia: W.B. Saunders Company, 1998. - P. 278.
- Waddell G. Illness behavior / The back pain revolution eds. by G.Waddell, 2nd ed. - Edinburgh: Elsevier, 2004. - Р. 456.
- Weishaupt D., Zanetti M., Boos N. et al. MR imaging and CT in osteoarthritis of the lumbar facet joints. // Skeletal Radiol. - 1999. - № 28. - P. 215-219.

